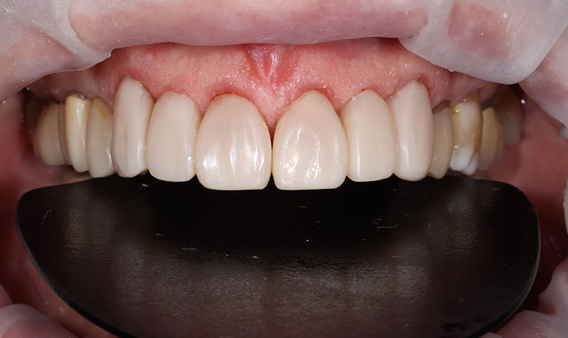
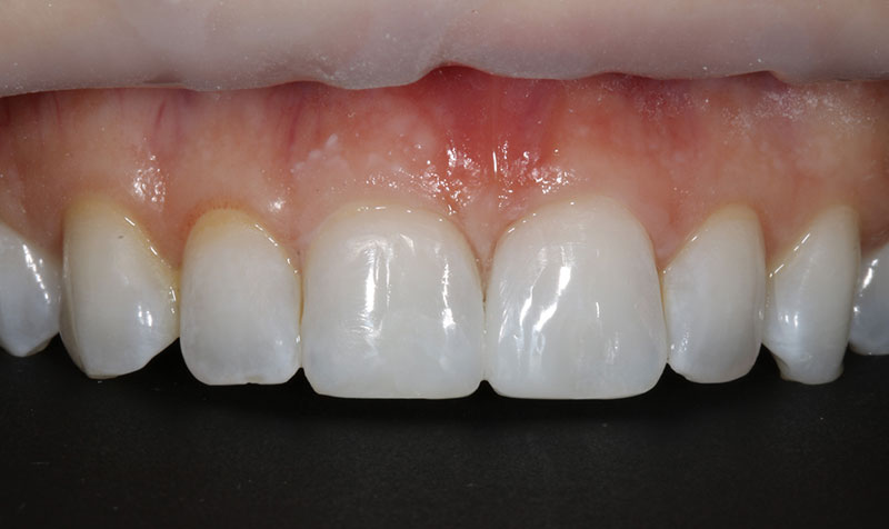
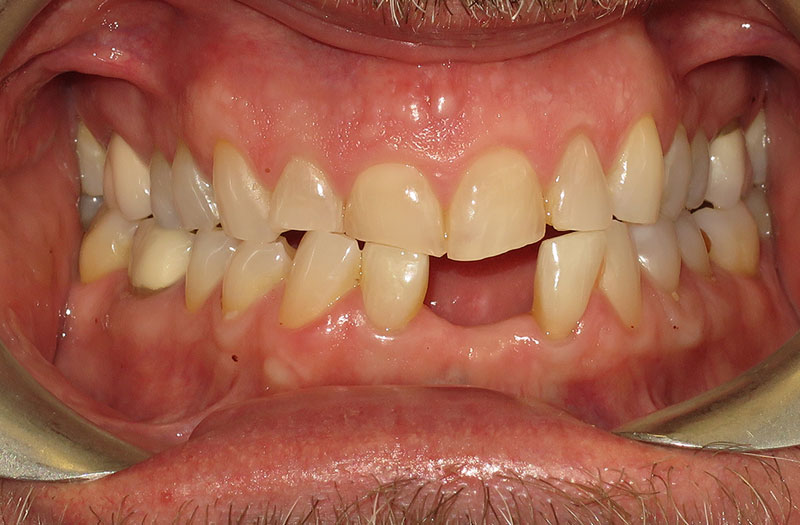
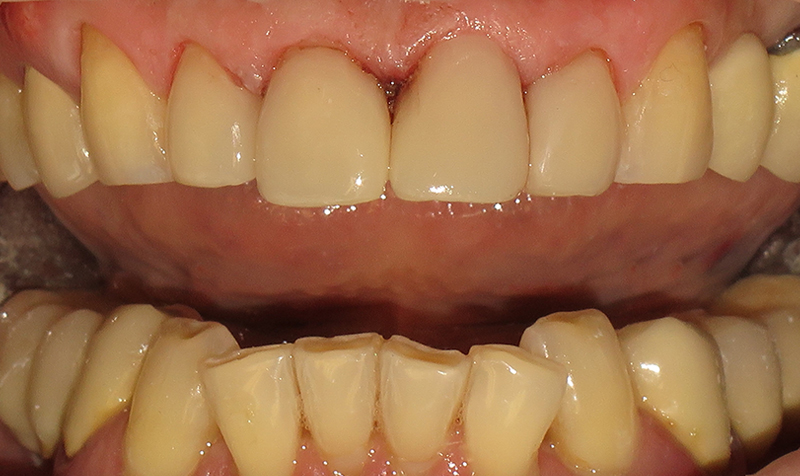
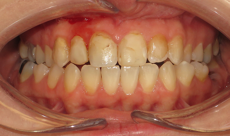
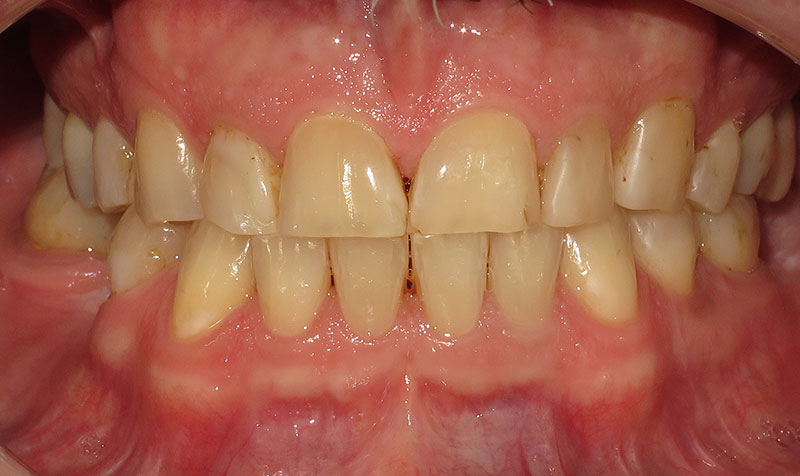
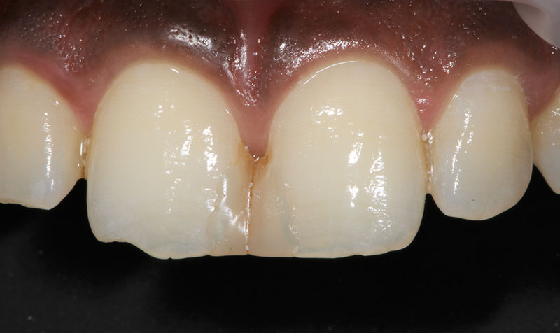
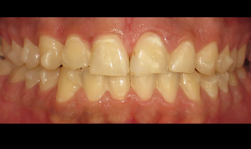
DENTAL BONDING CASES
Looking for a dentist in Orangeville, ON?
Call (519) 941-1919 to Book Your Appointment.
Contact Details
| A: | 33A Broadway – Unit 6 Orangeville, ON L9W 1J7 |
| T: | (519) 941-1919 |
| F: | (519) 941-1920 |
| E: | info@orangevillesmilesdentistry.com |






















































